Nous vous accompagnons sur votre préparation pré-opératoire, de l’analyse clinique initiale à la fabrication du guide chirurgical.
En partenariat avec Guided Plus, experts en planification implantaire, nous proposons une solution collaborative, adaptée à vos habitudes et à la complexité de vos cas.

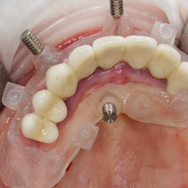
Positionnement précis des implants selon les contraintes osseuses, prothétiques et esthétiques. Fabriqué en résine résistante, avec ou sans douilles métalliques.
Intégration du projet prothétique dans le plan chirurgical, vous permettant de garder votre patient et de poser une prothèse le jour même.

Intégrez les contraintes esthétiques et occlusales dès la phase implantaire grâce à une planification centrée sur le résultat prothétique final.

Nos guides s’adaptent à l’ensemble des systèmes implantaires, avec ou sans douilles métalliques, pour respecter vos habitudes chirurgicales.

Visualisation et respect des zones à risque (sinus, nerf alvéolaire inférieur) grâce à la fusion des fichiers DICOM/STL.

Résultat : une pose conforme à la planification, favorisant une insertion implantaire idéale et une stabilité primaire fiable.