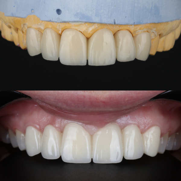
Nous pensons l’esthétique comme un tout : analyse du visage, morphologie dentaire, teinte, texture, translucidité, intégration gencive/dents. Chaque dispositif est fabriqué sur mesure, en dialogue constant avec le praticien.
stratification manuelle,
finitions personnalisées,
respect des critères esthétiques les + exigeants.

Protégez vos restaurations et soulagez les douleurs articulaires avec une gouttière sur mesure.
Projetez le futur sourire directement sur photo pour convaincre et planifier efficacement.
Simulez le sourire final dans l’environnement bucco-facial réel grâce à une modélisation 3D complète.
Travaillez avec des modèles précis (avec ou sans dies, fausse gencive, implants) pour fiabiliser vos étapes cliniques.

Texture, incisal, effets internes : chaque cas est travaillé minutieusement, comme une pièce unique.

Pour un rendu naturel, adapté à la morphologie et au sourire de chaque patient.