
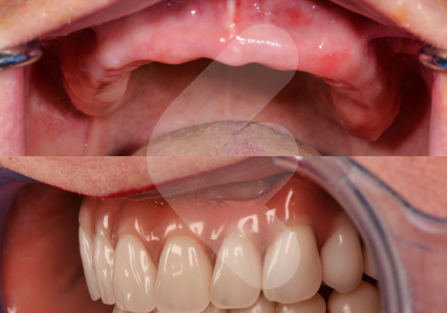
Nos bases parfaitement ajustées garantissent une rétention optimale, même en cas de crête résorbée.
Nous sélectionnons des matériaux biocompatibles qui réduisent les irritations et favorisent une adaptation rapide.
Choisissez parmi une large gamme de teintes dentaires pour une intégration naturelle et harmonieuse.
Offrez à vos patients un équilibre occlusal précis pour garantir une adaptation fonctionnelle immédiate.
Des prothèses livrées rapidement et prêtes à poser qui réduisent les besoins d'ajustements et optimisent le temps fauteuil.
Nos prothèses complètes amovibles sont conçues pour répondre aux différentes attentes des praticiens et de leurs patients, qu’il s’agisse d’une réhabilitation complète ou d’une solution provisoire avant un traitement implantaire.



Collaborez avec une équipe spécialisée qui comprend vos enjeux cliniques.
Bénéficiez d’un interlocuteur facto unique, réactif et disponible.
Accélérez vos traitements avec des délais de fabrication courts.
Recevez des dispositifs contrôlés rigoureusement avant chaque expédition au cabinet.
Pour toute prothèse réalisée à nos côtés, le modèle 3D est inclus !