
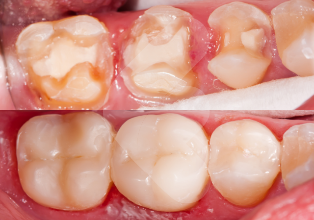
Réduisez les pertes de tissus avec des restaurations conservatrices précises et adaptées.
Bénéficiez d’une conception numérique 3D pour des restaurations parfaitement adaptées et prêtes à poser.
Offrez des résultats invisibles et naturels, grâce à des matériaux premium adaptés à la teinte de chaque dent.
Recevez vos dispositifs finalisés en 5 à 7 jours ouvrés pour assurer la continuité de vos soins et un traitement toujours plus efficace.
Suivez vos commandes en temps réel via notre plateforme dédiée et gérez facilement votre facturation.
De la prise d'empreinte à la pose finale, facilitez vos protocoles cliniques avec des inlays et onlays précis, réduisant les ajustements en bouche et les séances supplémentaires. Notre savoir-faire vous permet de gagner en efficacité, tout en améliorant la satisfaction de vos patients.



Collaborez avec une équipe spécialisée qui comprend vos enjeux cliniques.
Bénéficiez d’un interlocuteur facto unique, réactif et disponible.
Accélérez vos traitements avec des délais de fabrication courts.
Recevez des dispositifs contrôlés rigoureusement avant chaque expédition au cabinet.
Pour toute prothèse réalisée à nos côtés, le modèle 3D est inclus !