
Minimisez les actes chirurgicaux avec une solution fixe immédiate.
Assurez une répartition équilibrée des forces pour une résistance et une durabilité optimale.
Concevez des prothèses adaptées aux besoins fonctionnels et esthétiques de vos patients.
Intégrez des matériaux nobles pour un rendu naturel et harmonieux.
Optez pour une conception transvissée qui facilite le suivi post-opératoire.
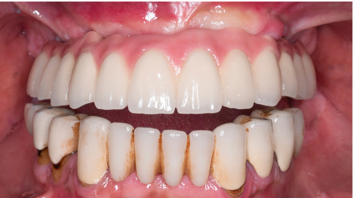
Le protocole All-on-4 / All-on-6 permet une solution fixe et fonctionnelle pour les patients édentés complets, sans nécessiter une greffe osseuse complexe. Grâce à un design ergonomique et une mise en charge immédiate, ces prothèses permettent un retour rapide à une fonction masticatoire normale.



Collaborez avec une équipe spécialisée qui comprend vos enjeux cliniques.
Bénéficiez d’un interlocuteur facto unique, réactif et disponible.
Accélérez vos traitements avec des délais de fabrication courts.
Recevez des dispositifs contrôlés rigoureusement avant chaque expédition au cabinet.
Pour toute prothèse réalisée à nos côtés, le modèle 3D est inclus !