
Offrez une excellente rétention et éliminez les mouvements parasites.
Proposez une solution amovible sécurisée, simple à manipuler pour le patient.
Conception sur-mesure pour répondre aux contraintes anatomiques et implantaires.
Répartissez les charges de façon homogène pour éviter les surcharges osseuses.
Offrez une prothèse stable, esthétique et fonctionnelle.
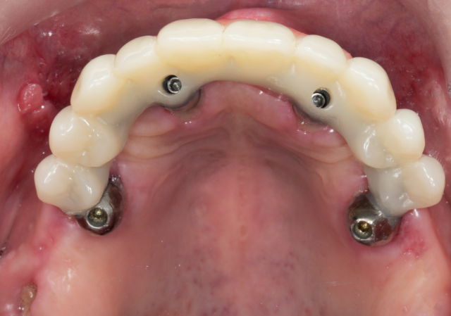
Améliorez la stabilité, la précision et le confort de vos prothèses amovibles complètes grâce à une barre implantaire conçue pour durer.



Collaborez avec une équipe spécialisée qui comprend vos enjeux cliniques.
Bénéficiez d’un interlocuteur facto unique, réactif et disponible.
Accélérez vos traitements avec des délais de fabrication courts.
Recevez des dispositifs contrôlés rigoureusement avant chaque expédition au cabinet.
Pour toute prothèse réalisée à nos côtés, le modèle 3D est inclus !